Alles, was Sie brauchen, an einem Ort
Bei Caredental steht höchste Präzision und Qualität in der Zahntechnik im Mittelpunkt. Als erfahrener Zahntechnikermeister sorgt Klaus Greiderer für passgenauen Zahnersatz, der Funktionalität und Ästhetik vereint. Ob Kronen, Brücken oder Implantate – wir bieten individuelle Lösungen, die optimal auf Ihre Bedürfnisse abgestimmt sind.
Kronen, Brücken und Implantate
Modellguss und Prothetik
Stegarbeiten auf Implantate
Navigierte Implantation
Valplast und allergiefreie Prothesen
Schnarch- und Apnoe-Schienen
Valplast mit Modellguss kombiniert
Modellguss und Prothetik
Mit dem Modellguss-System von Dentaurum fertigen wir einfache Modellguss-Teilprothesen, aber auch Kombinationsprothesen mit den verschiedensten Verankerungselementen an. Nach dem biofunktionellen Prothetik-System der Firma Ivoclar Vivadent fertigen wir Totalprothesen, die wir auch individuell einfärben können.
Valplast und allergiefreie Prothesen
Ursprünglich wurden für die Herstellung von Zahnersatz Materialien wie Kautschuk und Ebonit, später Chrom, Kobalt und Acryl verwendet. Trotz ständiger Weiterentwicklung in der Verarbeitung von Klammer-Prothesen blieb das ästhetische Problem sichtbarer (und oft auch als störend empfundener) Klammern lange ungelöst.
ALLERGIEFREI
INDIKATION
- Einzelzahnversorgung
- größere Zahnlücken
Schnarch- und Apnoe-Schienen
Schnarchen und Schlafapnoe sind weit verbreitete Probleme, die nicht nur die Schlafqualität der Betroffenen, sondern auch die ihrer Partner erheblich beeinträchtigen können. Eine der effektivsten Lösungen zur Bekämpfung dieser Schlafstörungen sind Schnarch- und Apnoe-Schienen. Diese dentalen Geräte bieten eine nicht-invasive Möglichkeit, den Atemfluss während des Schlafes zu verbessern und so die nächtliche Ruhe wiederherzustellen.
Valplast mit Modellguss kombiniert
Die Kombination von Valplast mit Modellguss bietet eine perfekte Lösung für komfortablen und ästhetischen Zahnersatz: Die flexible Valplast-Oberfläche sorgt für ein angenehmes Tragegefühl und eine unauffällige Zahnfleischoptik, während der stabile Modellguss eine optimale Passform und Langlebigkeit gewährleistet. Ein großer Vorteil dieser innovativen Technik ist, dass nur die Klammern sichtbar sind und kein Metall, wodurch eine ästhetisch ansprechende und natürliche Optik gewährleistet wird.
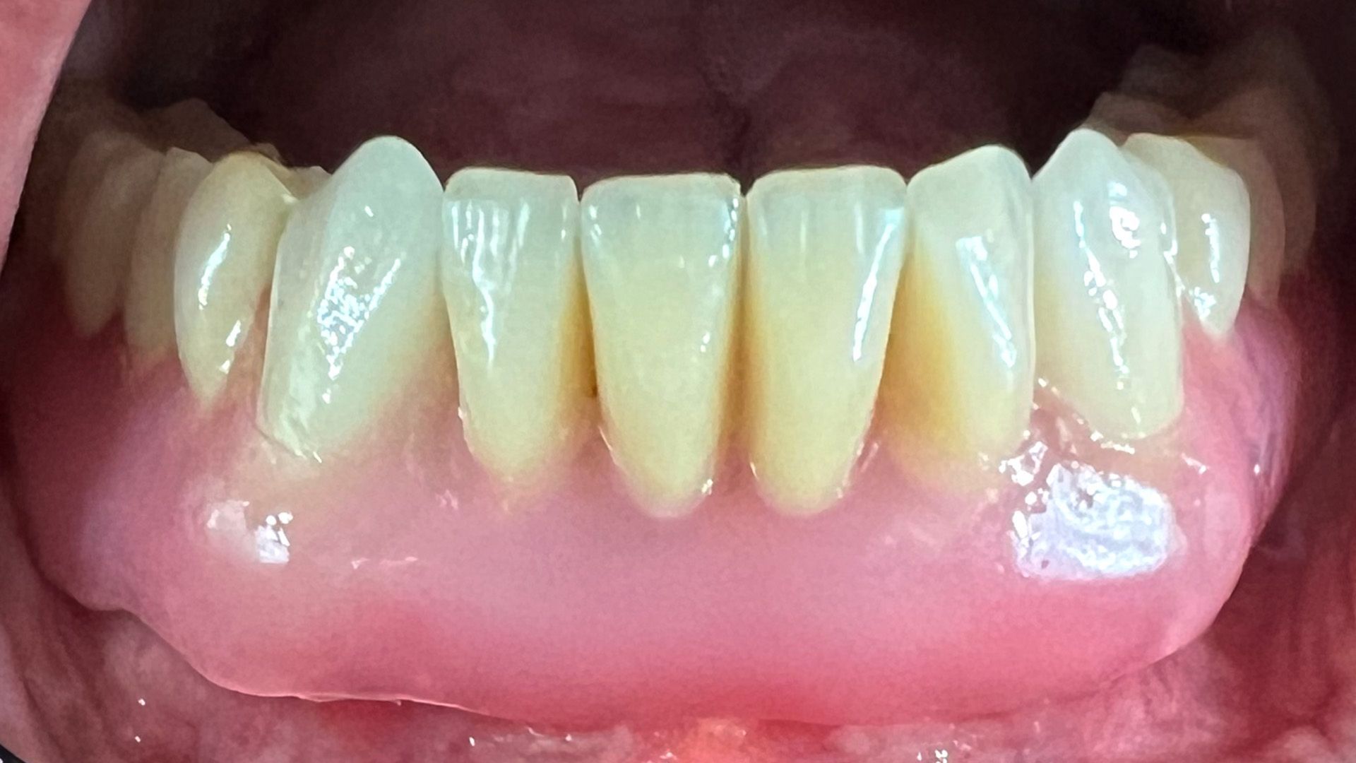
Frontzahnästhetik
Für natürlich schöne Frontzähne setzen wir bei care dental auf höchste Präzision – mit Optishade und Matisse.
Optishade misst mithilfe einer speziellen Kamera exakt die Zahnfarbe – die perfekte Grundlage für individuelle Keramiklösungen.
Matisse erstellt darauf basierend die exakte Rezeptur für die keramische Verblendung – abgestimmt auf Ihren Workflow und Ihre Ansprüche.
Das Ergebnis: vorhersehbare, präzise und ästhetisch überzeugende Restaurationen, die sich perfekt in Ihr Lächeln einfügen.




























